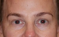
Results for Brow Lift
- Height:
- Undisclosed
- Weight:
- Undisclosed
- Gallery:
- 90771
- Height:
- Undisclosed
- Weight:
- Undisclosed
- Gallery:
- 66737
- Height:
- Undisclosed
- Weight:
- Undisclosed
- Gallery:
- 70673
- Height:
- Undisclosed
- Weight:
- Undisclosed
- Gallery:
- 65749
*Individual results are not guaranteed and may vary from person to person. Images may contain models.