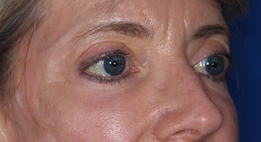
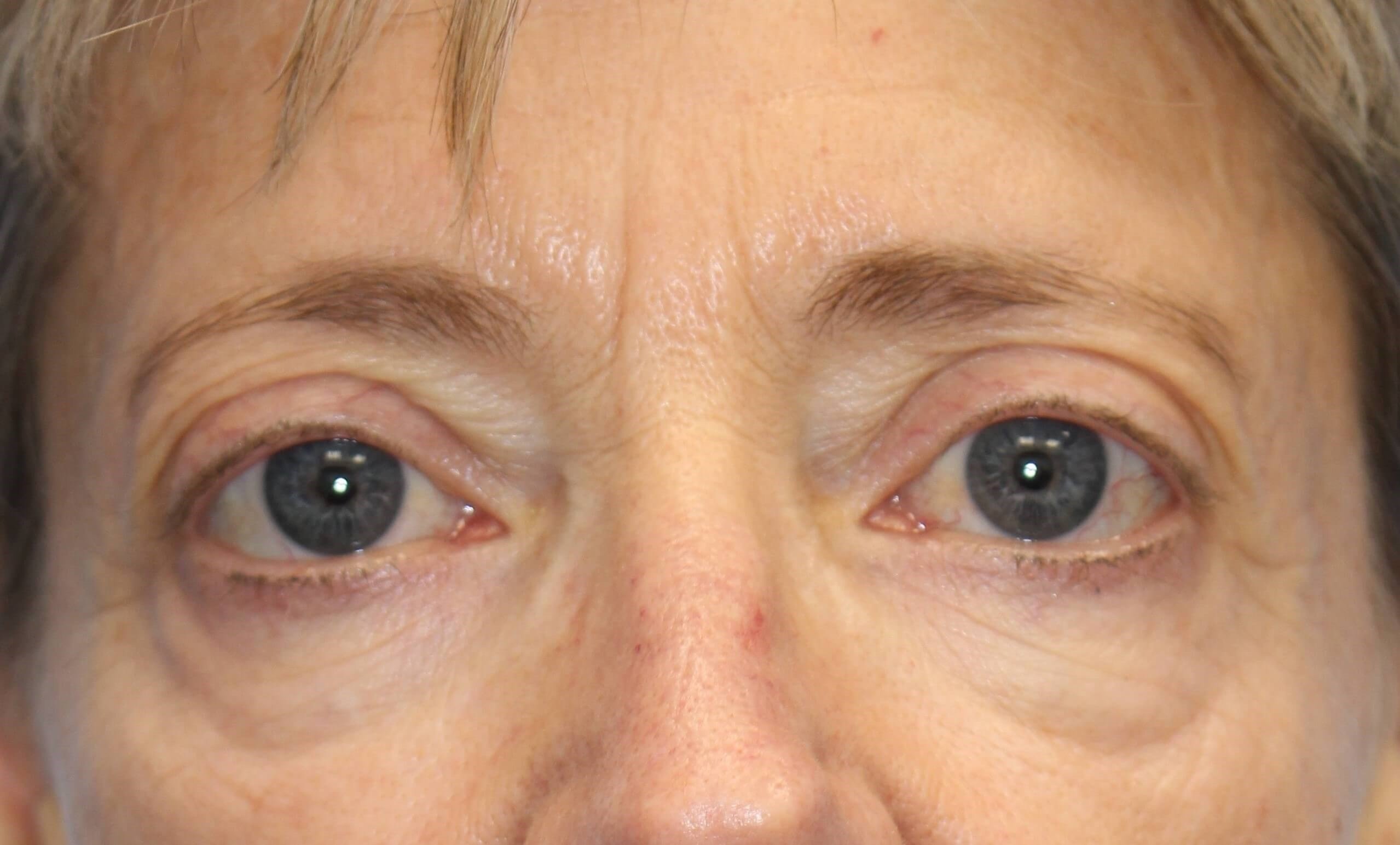
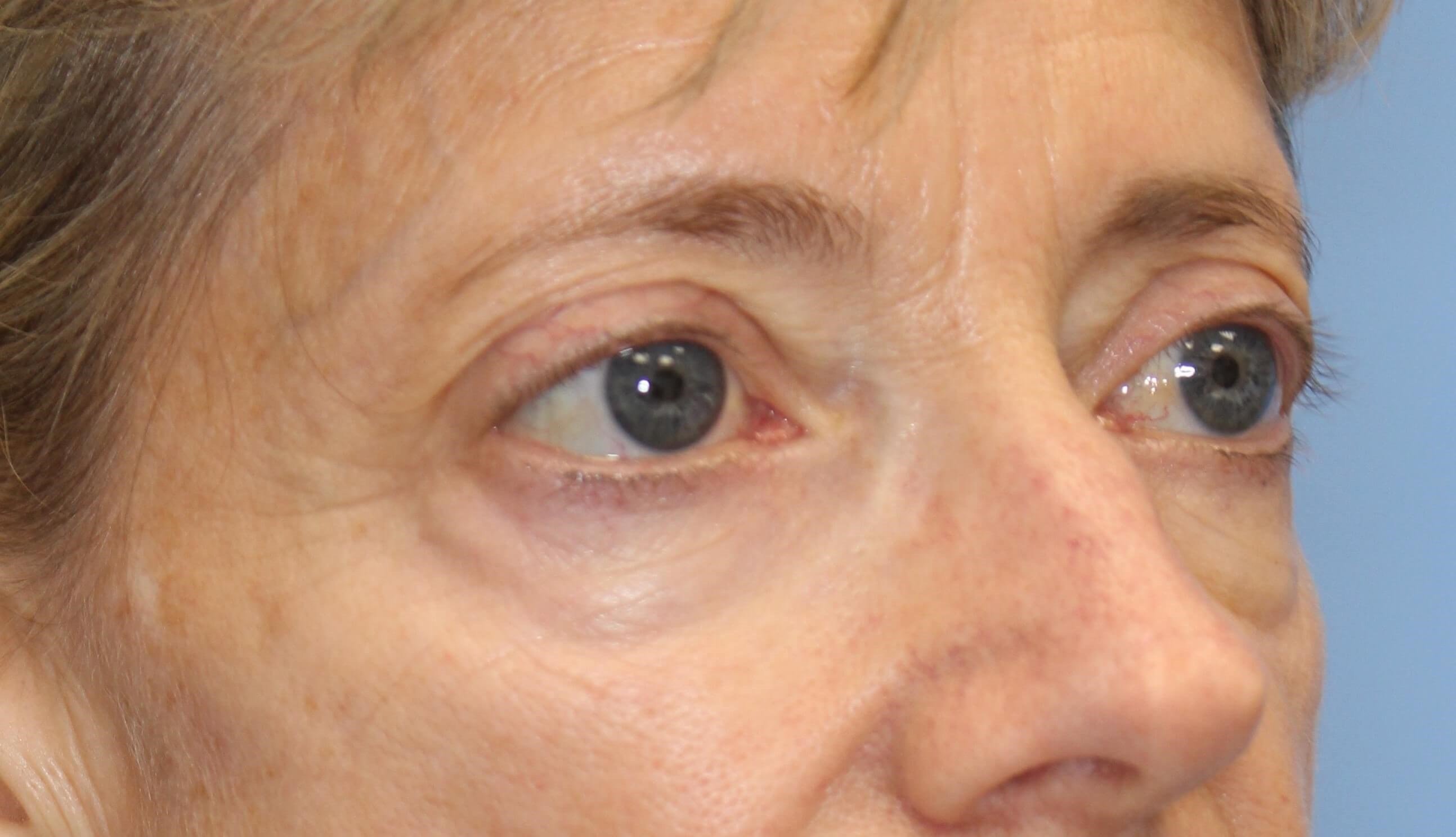
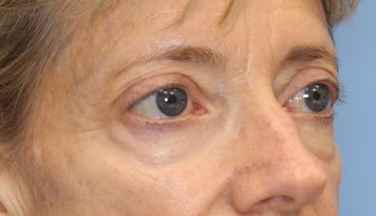
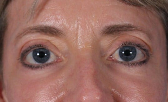
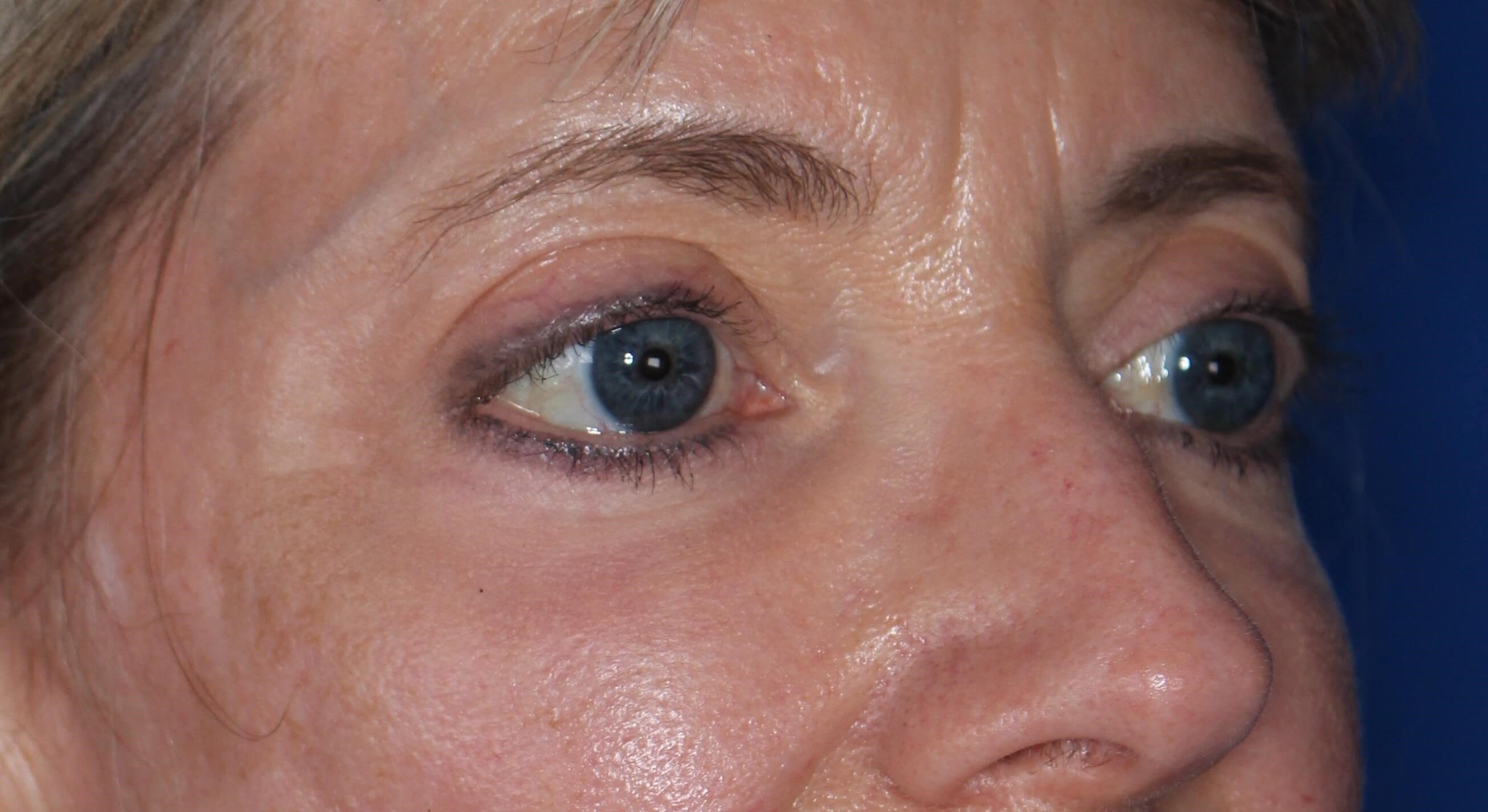
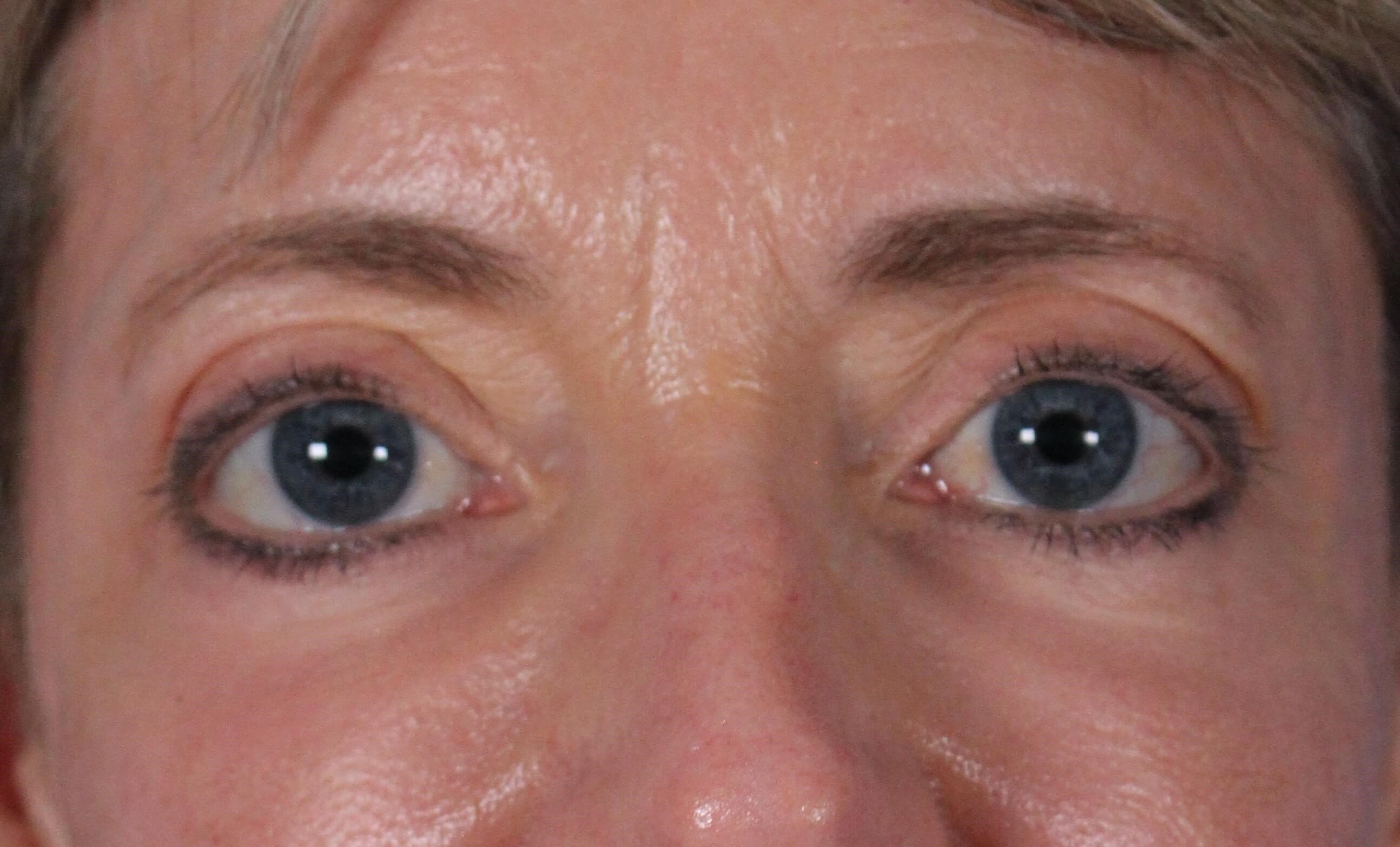
This Beverly Hills woman improved her appearance with laser resurfacing. & fat
Patient
- Age:
- 50 - 59
- Gender:
- Female
- Ethnicity:
- White
- Height:
- Undisclosed
- Weight:
- Undisclosed
- Gallery:
- 66743
Profile
Plastic Surgeon
424-239-5201
Procedure Details
Location
Popular Searches
*All information subject to change. Images may contain models. Individual results are not guaranteed and may vary.
