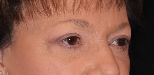
Los Angeles woman fixed her droopy & Puffy eyelids with eyelid lift.
Patient
- Age:
- over 60
- Gender:
- Female
- Ethnicity:
- White
- Height:
- Undisclosed
- Weight:
- Undisclosed
- Gallery:
- 71075
Procedure
- Blepharoplasty
- eyelid lift
- Eyelid surgery
- Eyelid Ptosis
- Aging Skin
- facial aging
- Droopy Eyelid
- Excessive Eyelid Skin
- Aging Face
- Upper Eyelid Lift
- Upper Blepharoplasty
- Lateral hooding of upper eyeli
- Eye Lift
- LOWER BLEPHAROPLASTY
- Lower Eyelid Rejuvenation
- Lower Eyelid Surgery
- Upper Bleph
- Upper Eyelid Surgery
- dark circles
- eyelift
- Blepharoplasty
- upper eyelid skin excision
Profile
Plastic Surgeon
424-239-5201
Procedure Details
Location
Popular Searches
*All information subject to change. Images may contain models. Individual results are not guaranteed and may vary.
