This Beverly Hills woman improved her double chin with RF skin tightening.
Patient
- Age:
- 40 - 49
- Gender:
- Female
- Ethnicity:
- White
- Height:
- Undisclosed
- Weight:
- Undisclosed
- Gallery:
- 66619
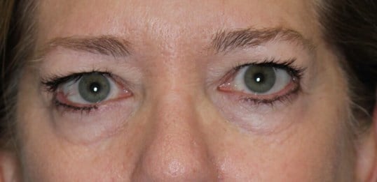
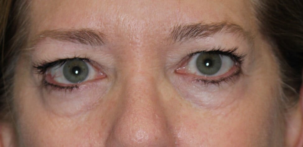
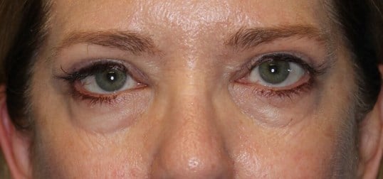
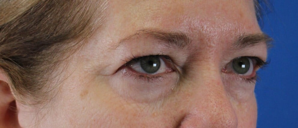
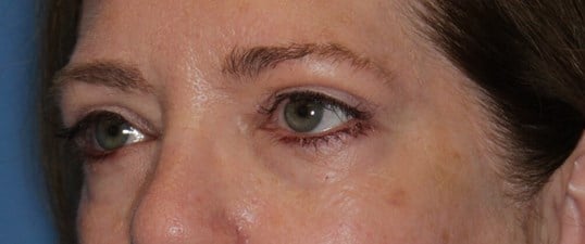
Procedure
- Blepharoplasty
- Facial Rejuvenation
- eyelid lift
- Eyelid surgery
- Eyelid Ptosis
- Aging Skin
- tired eyes
- facial aging
- Droopy Eyelid
- Excessive Eyelid Skin
- Aging Face
- Upper Eyelid Lift
- Upper Blepharoplasty
- Lateral hooding of upper eyeli
- Eye Lift
- Upper Bleph
- Upper Eyelid Surgery
- dark circles
- puffy eyelids
- eyelift
- Neck Liposuction
- saggy neck
- droopy jowls
- submentoplasty
- double chin
- double chin removal
- Skin tightening
- liposuction
- Jaw Contouring
- Jowls
- Neck Contouring
- jawline
Profile
Plastic Surgeon
424-239-5201
Procedure Details
Location
Popular Searches
*All information subject to change. Images may contain models. Individual results are not guaranteed and may vary.
