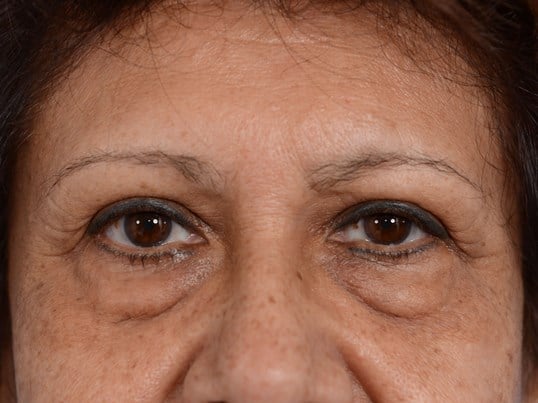
Puffy Eyelids
Patient
- Age:
- over 60
- Gender:
- Female
- Ethnicity:
- Hispanic
- Height:
- Undisclosed
- Weight:
- Undisclosed
- Gallery:
- 65599
Profile
Plastic Surgeon
424-239-5201
Procedure Details
Location
Popular Searches
*All information subject to change. Images may contain models. Individual results are not guaranteed and may vary.
